Clinical Examples

Life™ Zirconia - Premium

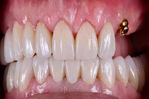
Superior Aesthetics and Finish of an Anterior Implant retained Bridge

High Strength Implant Retained 6-Unit Anterior Bridge and two separate molars.

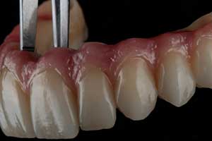
High Translucency Anterior 4 Unit Bridge

Life™ Zirconia - Classic

Posterior Single Unit Molar With High Aesthetics

Two Unit Anterior and Posterior Units exhibiting High Shade reproduction