The zirconia system rated to have the best esthetics for all-zirconia crowns¹ and layered restorations²
Sagemax NexxZr S is the highest strength zirconia with a biaxial flexure strength of 1400 Mpa. It has multiple uses, as lab technicians can create beautiful dental restorations by veneering porcelains over this material. NexxZr S represents the ultimate restorative material, offering Esthetics Strength and Versatility.
| Property |
Unit |
NexxZr Value |
Requirement for ISO |
| Bulk Density |
g/cm3 |
6.085~6.095 |
≥ 6.00 (iso 13356-2008) |
Chemical composition: ZrO2 + HfO2 + Y2O3 |
Percent Mass Fraction |
> 99.5 |
> 99 |
| ZrO2 |
91.6 |
N/A |
| Y2O3 |
5 |
4.5 to 6 |
| HfO2 |
3 |
≤ 5 |
| AI2O3 |
< 0.3 |
< 0.5 |
| Others oxides* |
< 0.2 |
< 0.5 |
Microstructure: Mean linear inctercept distance |
μm |
0.25±0.05 |
≤ 0.4 (iso 13356:2008) |
| Biaxial Flexure Strength |
Mpa |
1,550±50 |
≤ 500 |
| CTE |
|
10 * 10-6 (25~900°) |
No ISO |
| Fracture Toughness: |
Mpa M |
10 |
No ISO |
| Radioactivity: |
Bq/g |
0.1 |
0.2 (ISO 13356:2008) |
| Final Sinterred Hardness: |
HV10 |
1,200~1,300 |
No ISO |
| Pre-Sintered Blank Hardness: |
HV10 |
65~80 |
No ISO |
| Translucency: |
1-CR% (1.0mm) |
≥ 30 |
No ISO |
Benefits
- Absolute biocompatibility
- Perfect fits
- Excellent machinability
- Complete versatility
- High strength
Indications:
- Single crown copings with polychromatic layering
- Long span bridges - full arch bridges
- Implant substructures - abutments where high strength is required
- Hybrid bridges - in combination with implants
More than 10 years of clinical experience and millions of successful cases worldwide.
Since its introduction in 2006, Life™ Zirconia has become a huge success story. Millions of restorations have been produced and Life™ Systems are running in over 40 countries around the globe.
Life™ Zirconia is one of the best investigated materials on the market with over 100 studies published by researchers worldwide. Life™ stands for high-strength restorations with outstanding marginal fit and excellent aesthetics. Due to its proven reliability, Life™ grants for 15 years from the date of placement that copings or substructures made out of Life™ Zirconia will not break.
If fabricated by an Authorized Life™ Milling Center or on approved Life™ Equipment in strict compliance with approved indications and instructions for use for Life™ Crowns and Bridges. Only approved indications for Life™ Zirconia are covered and the warranty does not cover any breakage resulting from accidents or misuse. Additional costs such as the cost of preparation and veneering are also not covered.
Life™ Premium Highly Translucent Zirconia Restorations
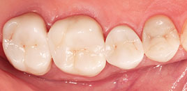
Figure 1: Initial situation: Insufficient full-cast metal crowns at teeth 26 and 27; insufficient composite filling at teeth 23, 24 and 25.
Figure 2 + 3: Final result: Life™ Premium Highly Translucent All-Zirconia single crowns at teeth 25, 26 and 27. Restorations are custom-shaded with Life™ Premium High Translucency Zirconia Dyeing Liquid and individualized with Life™ Premium High Translucency Zirconia Effect Shades. Teeth 23 and 24 restored with Filtek™ Supreme XTE.
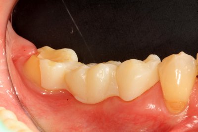
Experience pure all-zirconia, glazed-only Life™ Premium Highly Translucent 3-unit bridge for clinical situations with little inter-occlusal space.
Figure 1: Initial situation: Insufficient provisional at teeth 45-47
Figure 2: Final situation: Monolithic Life™ Premium Highly Translucent Zirconia 3-unit Bridge at teeth 45-47. Minimum wall thickness of framework at contact points is 0.5mm